Is the gap between orthodontics and myofunctional orthodontics closing?
For decades, the disparity between orthodontics and myofunctional orthodontics had been obvious. The traditional approach to orthodontics usually involved delaying treatment until the developing permanent dentition and creating space through extractions to align the teeth into an arbitrary Class I with permanent retention added at the end.
For the published PDF version click here
Conversely, myofunctional orthodontics has always encouraged early screening, diagnosis and treatment of paediatric patients as well as recognising breathing and myofunctional habits as aetiological factors of malocclusion. Myofunctional Research Co. (MRC) CEO Dr Chris Farrell established the modern practice of myofunctional orthodontics in 1989 when he founded MRC on the following principal - mouth breathing and incorrect myofunctional habits are the primary cause of malocclusion and TMJ disorder.
The distinction between the two treatment philosophies was clear for decades and deviation from either faction of the profession looked unlikely. However, recent evidence suggests the gap may be closing and a uniform approach to paediatric orthodontic treatment appears to be forming.

Figure 1. In January 2023, an American Association of Orthodontists (AAO) website
update recognised mouth breathing as a sign that a child may need orthodontic care.1
In January 2023, the American Association of Orthodontists (AAO) updated their website to include a page focused on “Child Orthodontics” that encourages orthodontists to screen and diagnose mouth breathing as a sign that the child may need orthodontic care. “Mouth Breathing - Although orthodontists cannot correct mouth breathing, there are orthodontic problems that can develop as a result of the pattern of breathing which can be addressed and corrected by an orthodontist” (Figure 1).1
RELATED: 'How myofunctional orthodontics relates to every dental practitioner' by Dr Emad Ahangari
Although this stance from the AAO is a significant step towards homogenous paediatric treatment philosophies within all divisions of the orthodontic profession, the webpage was updated in August 2024 to include a more vague view on mouth breathing, its effects within orthodontics and whether an orthodontist can correct it. “Mouth Breathing – Many orthodontic problems can develop as a result of mouth breathing. Your child’s orthodontist can address and correct these issues” (Figure 2).2

Figure 2. In August 2024, the American Association of Orthodontists (AAO) altered its
position on mouth breathing by recognising that “many orthodontic problems develop
as a result of mouth breathing”2 and removing the absolute statement that “orthodontists cannot correct mouth breathing”.1
Ironically, the Father of Modern Orthodontics, Dr Edward Angle, expressed similar views on the causative factors of malocclusion over 100 years ago. “Of all the various causes of malocclusion, mouth breathing is the most potent, constant and varied in its results”, wrote Angle.3 He also expressed his belief that the positions of the teeth were heavily influenced by “muscular pressure – the tongue acting upon the inside and the lips and cheeks upon the outside, of the arches”.4

Figure 3. Edward H Angle (left), author of Treatment of Malocclusion of the Teeth (1907), recognised "of all the various causes of malocclusion, mouth breathing as the most potent, constant and varied in its results" and included photographs of mouth breathing children he had observed (right).
This may be a case of modern orthodontics reconnecting with its myofunctional roots and the next step towards unification of paediatric orthodontic treatment philosophies is altering the dogma to recognise that orthodontists can treat the causative factors of malocclusion, such as mouth breathing and acknowledgment of treatment modalities that allow practitioners to achieve these treatment goals.
DOWNLOAD: Our FREE Arch Form & Orofacial Muscles Infographic
Backed by over 35 years of research and experience, The Myobrace®System by Myofunctional Research Co. (MRC) is a preventive pre-orthodontic treatment modality that focuses on intercepting a malocclusion before it develops by treating the underlying breathing and myofunctional causes of the issue, which will encourage sufficient jaw growth for the erupting teeth and address breathing disorders that may be affecting sleep.
MRC’s biological approach to paediatric orthodontic treatment of underlying airway and myofunctional issues with appliances that use light intermittent forces also has the benefit of indirectly producing natural tooth alignment with significantly reduced root resorption when compared to conventional orthodontics.5

Figure 4. Treatment using the Myobrace® for Teens series includes multiple stages - Habit Correction, Arch Development, Dental Alignment and Retention.
Although Myobrace® treatment simultaneously works to improve multiple targeted areas of concern throughout the duration of treatment, the four stages of priority are:
- Stage 1. Habit correction - The first stage of Myobrace® treatment focuses on habit correction and involves teaching the patient to breathe through the nose instead of the mouth, retraining the tongue to rest in the maxilla, swallow the right way and maintaining lip seal when not eating or speaking. Focusing on correcting these breathing and myofunctional habits that are causing the malocclusion and poor jaw growth allows the child’s jaws to grow to their full genetic potential and creates sufficient space for the teeth to come in straight.
- Stage 2. Arch development - Along with habit correction, additional arch development may be required to widen the upper jaw to allow sufficient space for the teeth and tongue. Depending on the severity of the underdeveloped jaws, a patient may be recommended arch development techniques such as The Farrell Bent Wire System™ (BWS) to achieve additional arch development during Myobrace® treatment.
- Stage 3. Dental alignment - When the patient is reaching the stage of the last permanent teeth erupting, the Myobrace®for Teens is used and it includes an appliance specifically designed to align the teeth into their natural position.
- Stage 4. Retention - The final stage of Myobrace® treatment is retention and it aims to ensure the corrected breathing and myofunctional habits are maintained, which can often prevent the need to wear a permanent retainer or wire for an extended period. With good compliance and habit correction maintenance, Myobrace® treatment allows for more stable orthodontic results and overall health.
The goal of Myobrace® treatment is to obtain natural development of the teeth and jaws, without the need for braces. The Myobrace® System provides practitioners with the flexibility of either intercepting a malocclusion before it develops or offering a better approach to orthodontic treatment altogether by treating the underlying breathing and myofunctional causes of the issue, not just the symptoms.

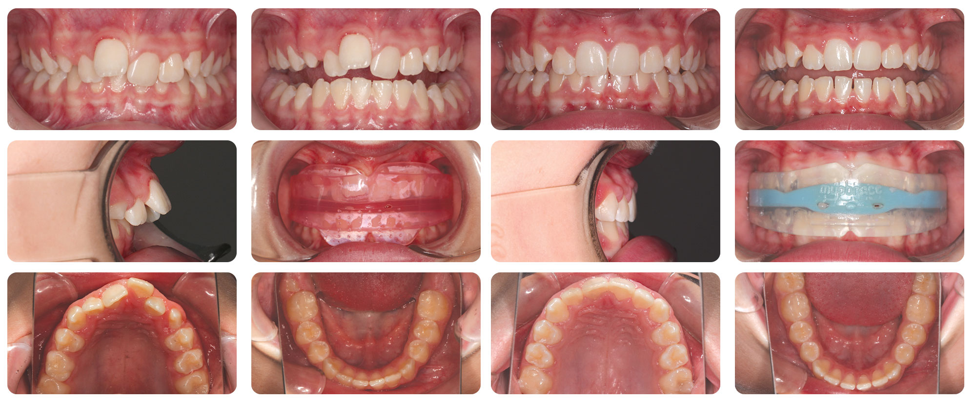
Figure 5. Case study - Left: This 11-year-old patient presented with crowding, a narrow upper arch, a deep overbite and a large overjey prior to treatment. Right: The patient has significantly improved in all aforementioned areas after 11 months of only Myobrace® treatment encompassing correction of mouth breathing and incorrect tongue and lip function. No fixed retainers required.
Utilising myofunctional orthodontic treatment modalities like The Myobrace®System is the next step in unifying orthodontics and myofunctional orthodontics into a uniform approach to paediatric orthodontic treatment. The AAO’s recent recommendation of screening and diagnosing causative factors of malocclusion, such as mouth breathing, is a significant step forward for all persuasions of the orthodontic profession.
Practitioners who are interested in learning more about myofunctional orthodontic treatment modalities and are looking to get started can do so by completing the free online training courses provided by MRC or by contacting one of MRC’s qualified educators.
Interested in learning how to use MRC's appliances?
Our FREE introductory course is the perfect starting point for any healthcare
practitioner wanting to learn how to use our treatment systems.